Рентген грудино ключичного сочленения что показывает
Артроз акромиально ключичного сочленения
Акромиально-ключичное сочленение – часть плечевого сустава. Благодаря ему осуществляется соединение лопатки с ключицей, что обеспечивает движение рук вверх, двигательные акты в плече. При артрозе акромиально-ключичного сочленения (АКС) происходит дегенеративное изменение тканей, ограничивается функциональность верхних конечностей. Весь патологический процесс сопровождается ухудшением состояния больного, снижением качества жизни.
Причины возникновения заболевания
Человек может поднимать руки вверх за счет пояса верхних конечностей, состоящего из плечевых суставов, лопаток и ключиц. Вместе они формируют подвижные, активные суставы. Так, в месте соединения полукруглой части лопатки (акромиона) и проксимального конца ключицы образуется акромиально-ключичное соединение. Оно включает в себя хрящи, связки, окружающие мягкие ткани. Примечательно то, в суставной сумке АКС очень мало синовиальной (внутрисуставной) жидкости.
Специфические нагрузки на верхнюю часть тела вызывают нестабильность связочного аппарата сочленения, что в свою очередь приводит к нарушению целостности хрящевой ткани. На следующем этапе происходит патологическое разрастание костных клеток, образуются наросты (остеофиты). Совокупность патогенетических факторов приводит к воспалительному, разрушающему процессу – артрозу АКС.
Специалистами определена категория пациентов, среди которых артроз акромиально- ключичного сочленения диагностируется наиболее часто:
спортсмены-тяжелоатлеты, работающие с большими весами;
бодибилдеры, нагружающие пояс верхних конечностей с целью скульптурирования мышц спины, рук, груди;
легкоатлеты, занятые на специфических снарядах – брусьях, кольцах, перекладине;
Главными факторами, провоцирующими начало дегенеративных изменений, являются:
тяжелый физический труд, связанный с подъемом, переносом тяжестей;
длительное вынужденное поднятие рук вверх;
врожденные аномалии развития костной и хрящевой ткани, связанные со слабостью связок, мышц, неправильным формированием хондроцитов;
травмы ключиц, лопаток;
оперативные вмешательства в области сочленения
подкладывание согнутой в плече руки под голову во время сна.
Длительные нагрузки на акромиально-ключичное соединение приводят к замещению хрящевой ткани на костную. Формирование остеофитов вызывает снижение двигательной амплитуды. Патологический процесс артроза протекает долго без специфических симптомов. Появление боли говорит о запущенной форме заболевания.
Если первопричина акромиально-ключичного артроза не установлена, говорят о первичной форме заболевания. В этом случае происходит распространение патологического процесса по всем костно-хрящевым сочленениям. Первичный АКС чаще всего передается генетическим путем.
О вторичном типе АКС говорят в случае, когда известен основной патогенетический фактор заболевания:
патологии эндокринной системы;
нарушение обменных процессов;
поражения элементов сочленения, приобретенного или врожденного характера
Признаки акромиально-ключичного артроза
В начале деструкции человек не отмечает каких-либо неприятных симптомов акромиально-ключичного артроза. Клиника патологии проявляется спустя годы. Иногда симптомы появляются одиночно, но очень часто о проблеме сигнализирует несколько специфических признаков:
Болевой синдром. Боль появляется первой. В начале патопроцесса она дает о себе знать после физических нагрузок, тренировок. Пациент испытывает кратковременную болезненность, которая проходит самостоятельно. Без терапии боль приобретает устойчивый характер, не купируется анальгетиками.
Хруст в плечевом суставе. В здоровом суставе возможно появление хруста (крепитации). При АКС он возникает вместе с болью.
Деформация, отечность. Разрастание костных отростков влечет за собой изменение формы сустава. Плечо отекает, меняется цвет кожи над суставом, повышается местная температура.
Нарушение двигательной функции. По мере прогрессирования заболевания пациент не может выполнять привычные движения, отводить руку за голову. У большинства больных возникают проблемы с одеванием.
Общее состояние больного стремительно ухудшается. Из-за невозможности принять удобное положение в постели развивается бессонница. В положении лежа боль усиливается. Соматические симптомы вызывают изменения со стороны центральной нервной системы. Больные становятся раздражительными, склонными к депрессии.
Методы диагностики
Чем раньше ставится диагноз «акромиально-ключичный артроз», тем больше у пациента шансов на торможение процесса, сохранение качества жизни. Для верного заключения понадобится комплекс мероприятий:
осмотр специалиста с обязательной пальпацией сустава;
КТ – необходима для определения изменения структуры костной ткани;
МРТ – показывает состояние хрящей, связок, костных элементов;
УЗИ плечевого сустава;
рентгенография – показывает сужение щели между дистальным отделом лопатки и ключицей;
анализ крови на маркеры аутоиммунных расстройств;
Оценка результатов обследования является основанием для назначения того или иного вида лечения, применения физиотерапевтических методов.
Стадии развития болезни
Травматологи выделяют четыре стадии течения акромиально-ключичного артроза:
I стадия – не сопровождается какими-либо симптомами. Пациенты отмечают дискомфорт и некоторую болезненность при надавливании на область акромиально-ключичного сочленения, при выполнении резких взмахов руками. Больные игнорируют первые симптомы, из-за чего хрящевая ткань продолжает истончаться – патология начинает прогрессировать;
II стадия – больной постоянно испытывает в пораженном суставе боль. Болезненные ощущения ноющие, усиливаются во время одевания, поднятия рук вверх, отведении за голову. После перенесенных травм возникает хруст, чувство щелканья в суставе. Амплитуда движений руками уменьшается. Пациент испытывает выраженную боль при поднятии незначительных тяжестей, в состоянии покоя;
III стадия – сформировавшиеся остеофиты травмируют мягкие ткани. Пораженный сустав болит постоянно, утрачивает подвижность. Болезненные ощущения плохо купируются лекарственными препаратами. Пациенты говорят о чувстве замороженности в суставе. Выявляется спазмирование окружающих мышц, контрактуры;
IV стадия – развивается при отсутствии адекватного лечения. Боль становится невыносимой из-за разрушения сустава. Чаще всего пациентам требуется замена сустава.
Лечение артроза АКС в Набережных Челнах
При появлении первых симптомов акромиально-ключичного артроза следует обратиться к врачу, имеющему опыт лечения суставных патологий. В Набережных Челнах высококвалифицированные, опытные специалисты осуществляют лечение акромиально-ключичного артроза в Центре восстановительной медицины.
Артроз ключично-акромиального сустава требует комплексного терапевтического воздействия. После изучения результатов диагностического обследования больному назначают:
обезболивающие препараты – в виде внутрисуставных блокад и перорального приема;
периферические вазодилататоры – средства, улучшающие местное кровообращение в суставе и окружающих мягких тканях;
хондропротекторы – препараты, необходимые для регенерации поврежденных хрящей
нестероидные противовоспалительные препараты;
глюкокортикоидные гормоны – принимают внутрь или вводят внутрисуставно для купирования воспалительного процесса;
средства для наружного использования – необходимы для усиления эффекта препаратов, вводимых внутрисуставно или перорально.
После купирования острого процесса начинают реабилитационный этап с обязательным назначением физиотерапевтических процедур:
Особое внимание уделяется сеансам лечебной физкультуры. ЛФК оказывает комплексное воздействие на улучшение состояния плечевого сустава:
купирует болезненные ощущения;
улучшает двигательную активность;
снимает мышечный спазм, расслабляет напряженные мышечные волокна;
оказывает тонизирующее воздействие;
улучшает сон, общее состояние больного;
нормализует сосудистый тонус;
ускоряет процесс восстановления хрящей;
затормаживает процесс дегенерации, деформации в суставе
помогает предотвратить развитие осложнений.
Чтобы узнать подробности о комплексах ЛФК, которые разрабатывают специалисты Центра восстановительной медицины, переходите по ссылке.
Массаж при лечении артроза акромиально-ключичного сочленения необходим для предотвращения усугубления дегенеративного процесса. Умелые руки врача-массажиста не только улучшают общее самочувствие, оказывают комплексное воздействие на больного:
устраняют болезненность в пораженном суставе;
снимают отечность мягких тканей;
помогают избежать развития атрофических, необратимых изменений;
восстанавливают питание мышечных волокон;
Подробности о комплексах массажа, которые можно пройти в Центре восстановительной медицины, читайте здесь.
Появление неприятных ощущений в плечевых суставах, внезапной боли, чувства дискомфорта, ограничение движений – повод для обращения к врачу. В Центре восстановительной медицины в Набережных Челнах работают специалисты в области травматологии, ортопедии, неврологии и реабилитации, которые поставят верный диагноз и назначат адекватное лечение. Передовые технологии восстановительной медицины помогают восстановить двигательную активность, что улучшает качество жизни пациентов.
Узнать стоимость лечения АКС и других заболеваний опорно-двигательного аппарата можно в прайсе Центра по ссылке. Не принимайте лекарственные препараты самостоятельно – это может в значительной степени ухудшить самочувствие, спровоцировать прогресс заболевания. При первых негативных симптомах звоните по номеру +7 (8552) 78-09-35, +7 (953) 482-66-62 для записи на консультацию у лучших специалистов в Набережных Челнах.
Рентген грудинно-ключичного сочленения
Стоимость услуг
В Санкт-Петербурге Вы можете сделать рентген грудинно-ключичного сочленения в Центральном отделении клиники «Энерго» на ул. Киевская, д. 5.
Как может повредить плечо и руку взрослый человек? Довольно просто. Даже обычное падение на скользкой дороге может привести к появлению ноющих болей в области ключицы со стороны плеча или лопатки. Особенно симптоматичны такие жалобы после прямого удара по плечу (например, в ДТП): последствием травмы может стать вывих (3-5% от всех вывихов) или перелом (3% от нарушений целости всех костей скелета) ключицы.

Среди травм ключицы чаще всего встречаются переломы тела ключичной кости, а также вывихи и подвывихи наружного (акромиального) конца ключицы; повреждения грудинного конца ключицы достаточно редки, однако от этого не менее неприятны.
Вывих — это смещение кости за пределы нормального месторасположения, чаще всего сопровождающийся разрывом связок. Симптомами травмы становятся деформация сустава, гематома и отек, а также удлинение верхней конечности и неспособность больного приподнять руку. Поскольку кость легко визуализируется, для первичного обследования чаще всего назначают рентгенографию.
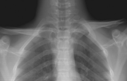
Что покажет рентген грудинно-ключичного сочленения?

Когда назначают рентген грудинно-ключичного сочленения?
На каком оборудовании проводится рентген грудинно-ключичного сочленения в клинике «Энерго»?
В нашем центре установлен новый цифровой рентген-аппарат Samsung XGEO GU60A, позволяющий сократить время исследования без ущерба для качества и снизить лучевую нагрузку на организм. Высокий уровень безопасности исследования гарантирован наличием разных скоростей передвижения штатива в горизонтальной и вертикальной плоскостях, наличием блока детектора и блока трубки и 6 сенсорными датчиками на самом штативе.
Где можно сделать рентген грудинно-ключичного сочленения в СПб?
Сделать такую рентгенограмму в Санкт-Петербурге можно в центральном отделении клиники «Энерго» на ул. Киевской, 5, корп. 3.
Как подготовиться к исследованию?
Рентгенография костей не требует специальной подготовки. На время исследования необходимо снять очки, украшения и предметы одежды, которые могут повлиять на рентгеновское изображение.
Время исследования
После получения снимков с расшифровкой Вы можете получить консультацию у квалифицированных специалистов нашего центра. В случае необходимости Вы можете получить консультацию и по уже имеющимся на руках снимкам — результатам предыдущих исследований.
Вы можете записаться на прием on-line или по номеру телефона, указанному на данной странице.
Мы отвечаем за высокое качество исследования.
Рентген грудино ключичного сочленения что показывает
а) Определение:
• Травма грудино-ключичной связки с различными степенями/ направлениями вывиха медиального конца ключицы из грудино-ключичного сустава
1. Общая характеристика:
• Лучший диагностический критерий:
о Неправильное положение медиального конца ключицы относительно рукоятки грудины
• Локализация:
о Передний (перстернальный) вывих (ПВ): медиальный конец ключицы находится кпереди или кпереди и кверху относительно рукоятки грудины
о Задний (ретростернальный) вывих (ЗВ): медиальный конец ключицы находится кзади или кзади и кверху от рукоятки грудины
• Степень:
о Варьирует от клинически проявляющегося растяжения до полного вывиха грудинного конца ключицы
2. Рентгенография при травме грудино-ключичного сустава:
• Часто без видимых изменений:
о Нормальные грудино-ключичные суставы могут быть приняты за суставы с подвывихом на рентгенограммах вследствие косого угла сустава
о Наложение грудных структур затеняет сустав
• Стандартные: передне-задняя, косая, боковая проекции грудино-ключичных суставов:
о Передне-задняя: вывих в случае разницы в краниокаудальных положениях медиальных концов ключицы >50% ширины головки ключицы
• Специальные проекции:
о Позиция по Роквуду («удачная»): луч направлен в сторону головы через рукоятку грудины у пациента в положении лежа на спине:
— Передний вывих: медиальный конец ключицы над горизонтальной плоскостью
— Задний вывих: медиальный конец ключицы ниже горизонтальной плоскости
о Проекция Хоббса: пациент сидит, наклоняясь над столом, а луч проходит через шейный отдел позвоночника:
— Усредняет 90° боковую проекцию грудино-ключичного сочленения
• Прием со сдавливанием:
о Классический: поврежденную руку кладут на грудную клетку и надавливают в направлении противоположного локтя
о Можно также использовать совместно с КТ

(Справа) На осевой КТ у этого же пациента визуализируется медиальный конец правой ключицы, вывихнутый латерально и несколько кпереди. Большинство грудино-ключичных вывихов являются передними. Обратите внимание на нормальный левый грудино-ключичный сустав. 
(Справа) На передне-задней рентгенограмме у другого пациента определяется промежуток между левой ключицей и суставной поверхностью грудино-ключичного сустава. Правый грудино-ключичный сустав между ключицей и грудиной нормальный. Это тоже вывих III степени с полным разрывом грудино-ключичных связок. Важно оценить грудино-ключичный сустав на рентгенограммах при травме грудной клетки, учитывая риск травмы сосудов. 
(Справа) На осевой КТ ангиограмме у этого же пациента определяется заднее положение ключицы относительно грудино-ключичного сустава. Медиальный конец ключицы лежит рядом с плечеголовной веной, но повреждения сосудов не отмечено. Задние вывихи более тяжелые, поскольку они могут вызвать жизнеугрожающее повреждение сосудов средостения.
3. КТ при травме грудино-ключичного сустава:
• Компьютерная томография с контрастированием:
о Можно выявить травму сосудов и мягких тканей
о Легко определяется направление вывиха:
— Сравнивают с противоположной нормальной стороной
о Полезна при планировании операции
о Можно быстро получить данные в условиях травмы
4. МРТ при травме грудино-ключичного сустава:
• Т1 ВИ:
о Можно обнаружить разрыв связки
• Т2 ВИ:
о Усиление сигнала при разрывах связок, выпоте, отеке мягких тканей
• МРА:
о Можно выявить травму сосуда при заднем вывихе
• Превосходит КТ в отношении обнаружения сосудистого хряща и травмы диска, суставного выпота, травмы связок
5. УЗИ при травме грудино-ключичного сустава:
• Быстрый предоперационный скрининг вывиха
• Цветовая допплерография позволяет быстро оценить сосуды
• Подтверждает вправление до выхода из операционной
• Истинное неправильное положение грудино-ключичного сустава выявляется в 89% случаев при УЗИ в сравнении с 13% при рентгенографии
• Весьма малое количество опытных специалистов
6. Рекомендации по визуализации:
• Лучший метод визуализации:
о КТ лучше всего подходит для оценки положения медиального конца ключицы и сопутствующих повреждений
• Рекомендация по протоколу:
о Рентгенография: специальные проекции ± приемы сдавливания
о КТ:
— Тонкие срезы ( Ж
о Атравматичный чаще всего у молодых девушек
• Эпидемиология:
о Вывихи грудного конца ключицы встречаются редко:
— 3% от травм плечевого пояса
— 2/3 передних вывихов ассоциированы с серьезными травмами
— 25% задних вывихов сопровождаются повреждением верхнего средостения
— Ассоциированные травмы не столь серьезные при переднем вывихе, как при заднем вывихе
3. Течение и прогноз:
• В большинстве случаев восстанавливается адекватная функция верхней конечности
• Передний вывих: симптомы обычно быстро проходят
• Задний вывих: значительная инвалидизация и (редко) смерть
4. Лечение:
• I степень: лед в течение 12-24 часов, тепло, иммобилизация 3-4 дня
• II степень: лед в течение 12 часов, тепло в течение 12-24 часов, вправление вывиха, иммобилизация 3-6 недель
• Передний вывих (III степень):
о Обычно закрытое вправление с обезболиванием при сохраненном сознании
о Иммобилизация в течение 4-6 недель после вправления
о Рецидивирующие болезненные вывихи могут потребовать оперативного вмешательства
• Задний вывих (III степень):
о Закрытое вправление предпочтительно менее чем через 24 часа после травмы, часто выполняется в операционной под общей анестезией
о Операция в случае безуспешного закрытого вправления или нестабильности сустава
о Иммобилизация на 4-6 недель после вправления
о В учреждении должна быть кардиоторакальная оперативная бригада
• Атравматичный: доброкачественное течение → лечение не требуется
• Осложнения (неоперативное лечение):
о Передний вывих: косметическая деформация, дегенеративные изменения, постоянная боль, слабость, нестабильность при движениях
о Задний вывих: травма сосуда дуги, трахеи, пищевода или плечевого сплетения
е) Диагностическая памятка:
1. Следует учесть:
• Вывихи грудинного конца ключицы встречаются редко
• Передний вывих встречается значительно чаще, чем задний
• Повреждение структуры верхнего средостения при заднем вывихе
2. Советы по интерпретации изображений:
• КТ является предпочтительным диагностическим методом
о Сравнивают с бессимптомной стороной
• Рентгенограммы часто ненадежны при определении направления вывиха
ж) Список использованной литературы:
1. Tepolt F et al: Posterior sternoclavicular joint injuries in the adolescent population: a meta-analysis. Am J Sports Med. 42( 10):2517-24, 2014
2. Wijeratna MDetal: Novel assessment of the sternoclavicular joint with computed tomography for planning interventional approach. Skeletal Radiol. 42(4):473-8, 2013
3. Koch MJ et al: Proximal clavicle physeal fracture with posterior displacement: diagnosis, treatment, and prevention. Orthopedics. 35(1):e108-11, 2012
Редактор: Искандер Милевски. Дата публикации: 24.9.2020
Виды артроза
От артрозов страдает каждый десятый человек на земле, то есть 10% населения мира, и чем выше возраст, тем чаще встречается это заболевание в диагнозах. В 50 лет болезнь диагностируется у каждого третьего, в 70 – у каждого второго. Но не стоит отчаиваться: практически все виды артроза успешно лечатся, есть разнообразные методы лечения, в тяжелых случаях проводится операция. Чем раньше поставлен диагноз, тем быстрее выздоровление.
Что это такое
Артроз – это заболевание суставов дегенеративно-дистрофического характера с постепенным разрушением хрящевой и разрастанием костной ткани. В начале развития заболевания хрящевая ткань подсыхает, становится менее упругой и эластичной. Покрытый трещинами хрящ уже не скользит, а трется, еще больше истончаясь. Давление на подлежащую кость возрастает, она начинает уплотняться и деформироваться. У головок костей больше нет хрящевого амортизатора, они, не только верхний слой кости, расплющиваются, компенсаторно увеличивая суставную площадь. По ее краям появляется и растет перерожденная костная ткань (остеофиты).
Костные разрастания при артрозе НЕ отложение солей. Поэтому бездумная «выгонка солей» при данном заболевании – потеря времени, пользы не принесет.
В зависимости от степени выраженности патологического процесса и локализации патологии выделяют несколько видов артроза. При диагностике важно определить, какой именно у пациента тип заболевания, так как от этого зависит объем и длительность лечения.
Классификация артроза по Косинской (по стадиям)
Наибольшей популярностью у отечественных ортопедов пользуется классификация артрозов, предложенная проф. Н.С. Косинской в 1961 г., поскольку она учитывает не только изменения в суставе, видимые на рентгеновских снимках, но и наличие, выраженность клинических симптомов. Клинико-рентгенологические признаки заболевания по Косинской разделяют на 3 стадии (в интернете встречается ошибочная классификация – 4 стадии, это неверно).
1 стадия артроза
Первый признак заболевания – боль при физической нагрузке, которая проходит во время отдыха. Объем движения в суставе не изменен. На рентгеновском снимке заметны:
Например, при гонартрозе колено начинает болеть при ходьбе, особенно при подъеме по лестнице или при спуске. Неприятные ощущения появляются также при длительном пребывании на ногах, но стоит отдохнуть, как болевой синдром исчезает. На этой стадии артроз отлично поддается лечению – можно полностью избавиться от неприятных ощущений.
2 стадия артроза
Пациент жалуется на умеренную и постоянную боль. Подвижность в суставе ограничена, отмечается гипотрофия мышц, когда в результате пониженного тонуса мышца напряжена и сопротивляется движению. Кроме того, для артроза по месту локализации добавляются свойственные для данного заболевания симптомы. Например, при коксартрозе появляется хромота, врач определяет небольшую фронтальную деформацию оси конечности.
На рентгеновском снимке:
На такой стадии так же эффективно и позволит надолго приостановить разрушение сустава.
3 стадия артроза
На 3 стадии по Косинской на рентгеновском снимке видно, что суставная щель практически отсутствует. Суставные поверхности расширены из-за обширных костных наростов по краям, склерозированы. Нередки их фрагментация, кистозные просветления и полости (субхондральный очаговый некроз, начинает разрушаться кость под хрящом).
При осмотре пациента отмечают:
При обнаружении симптомов 3 стадии нужно срочно обратиться к врачу. В дополнение к медикаментозной терапии больному назначается массаж, физиопроцедуры, лечебная физкультура. Только комплексное лечение способно значительно улучшить способность двигаться и избежать хирургической операции.
Виды артроза по месту локализации
Виды артрозов по месту локализации заболевания:
Давайте рассмотрим подробнее каждый из них.
Артроз тазобедренного сустава
Артроз тазобедренного сустава, иначе коксартроз, развивается после 40 как у мужчин, так и у женщин. Его особенность: сначала заболевает один сустав, если болезнь не лечить – «подтягивается» второй. Основной симптом артроза тазобедренного сустава: боль в паху, опускающаяся по передней и боковой поверхностям до середины бедра. Боль редко доходит до колена и середины голени, никогда – до пальцев ног (что нередко случается при грыже межпозвоночного диска).
Болезнь прогрессирует быстро:
Артроз коленного сустава
Гонартроз по статистике диагностируется у 8%-20% больных артрозом, развивается после 40 лет, женщины болеют чаще мужчин. Заболевание протекает тяжелее при избыточной массе тела, варикозном расширении вен.
Основной симптом: боль в колене, которая возникает после физической нагрузки, при спуске и подъеме по лестнице, усиливается в холодную и сырую погоду. Причем боль не возникает резко, в один день, начало заболевания – период многомесячных несильных болей. Колено практически не меняет форму, может быть немного распухшим.
Симптомы на 2 стадии:
Если не лечить этот вид артроза, появляется нестабильность колена, нарушение сгибательно-разгибательных движений в колене, варусная или вальгусная деформация. Колено болит постоянно, не только при ходьбе.

